센텀정형외과 신경외과

본문 바로가기

어깨 관절염

어깨의 퇴행성관절염은 한국인에게서는 무릎관절, 엉덩이관절과는 달리 비교적 흔하지 않습니다.
하지만 견관절 관절염이 발생하게 되면 심한 통증 및 움직임 제한으로 일상생활에 큰 지장을 받게 됩니다.

발병부위원인

어깨 관절염의 원인으로는 퇴행성, 골절이나 탈구 등외상의 합병증, 류마티스, 진행된 회전근개 파열, 골괴사 등에 의해 발생하게 됩니다.

주로 젊은 층에서는 외상, 류마토이드 관절염, 수술 등에 의해 2차적으로 50대 이후에는 퇴행성으로 생기게 됩니다.

어깨 관절염

증상

어깨 관절염의 대표적 증상은 활동에 의해 심해지는 통증입니다. 또한 어깨관절 운동의 제한을 보이기도 하는데, 어깨를 들어 올리거나 돌리는 운동의 법위가 감소하게 됩니다. 움직일 때 딱딱 걸리는 마찰을 느낄 수 있습니다.

진단

동통과 운동제한을 가진 환제에서 엑스레이 소견을 보면 알 수 있습니다.

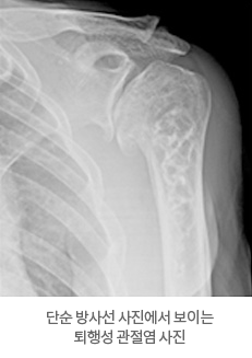
엑스레이에서는 관절 간격이 줄어들고 골극이라는 비정상 뼈 만들어져 있으며 관절면이 불규칙하고 딱딱하게 경화된 특징을 보입니다. CT를 통해 관절면 변형 및 관절와 골결손을 정확하게 파악할 수 있기도 합니다.

단순 방사선 사진에서 보이는 퇴행성 관절염 사진

어깨 관절염

치료

비수술적치료

초기에는 비수술적 치료로 약물을 이용한 통증조절, 관절의 스트레칭 및 근육강화 요법 등의 치료를 주로 합니다.

수술적치료

비수술적 치료에 반응이 없는 경우에는 수술적 치료를 고려할 수 있으며, 관절염의 심한 정도에 따라 수술 술기가 달라지게 됩니다.
관절연골의 손상이 심하지 않고 운동제한이 적은 초기 골관절염에서는 관절경을 이용한 관절 세척술 및 변연 절제술을 시행할 수 있습니다. 연골손상이 심한 고령의 환자에서는 인공관절치환술이 도움이 됩니다. 수술 후 통증이 줄고 운동 범위를 회복하여 일상생활이 편해져 많은 환자가 만족해하는 결과를 보입니다.

본원에서 시행한 어깨 인공관절 환자의 사진

call center 041-425-0099 진료시간 안내 야간진료 안내 입·퇴원 안내 오시는길 안내 증명서 발급 안내 치료센터 바로가기 어깨치료척추치료 무릎치료수부치료 족부치료고관절치료 카카오채널

천안센텀정형외과신경외과병원 개인정보처리방침 비급여비용

충청남도 아산시 배방읍 고속철대로147 우성메디피아
상호명 : 천안센텀정형외과신경외과병원
사업자등록번호 : 312-92-37157
대표자명 : 김우석

COPYRIGHT(C) CENTUM HOSPITAL. ALL RIGHTS RESERVED.

센텀 고객센터

TEL. 041-425-0099

FAX. 041-425-0098

센텀 진료시간 안내

  • 월 ~ 금
    토요일
    공휴일
    점심시간
    일요일
  • 09:00 ~ 20:00
    09:00 ~ 15:00
    09:00 ~ 13:00
    13:00 ~ 14:00
    휴진
야간진료안내
카카오채널