센텀정형외과 신경외과

본문 바로가기

무지 외반증

무지 외반증은 무지에 발생하는 가장 흔한 질병입니다. 최근 많은 사람들이 볼이 좁은 신발을 선호하게 되었고 특히 젊은 여성의 경우 하이힐 착용이 증가하면서 엄지 발가락의 통증을 호소하는 경우가 많아지고 있습니다. 주위에서 흔히 볼 수 있는 기형이지만 이것을 치료가 필요한 병으로 알지 못하는 환자가 많은 질환입니다.

발병부위원인

부모 중에 이러한 기형이 있는 유전적 요소가 발병이 원인이 될 수 있습니다.

그러나 가장 큰 원인은 앞이 뾰쪽하거나, 폭이 좁은 하이힐 등의 신발 착용이 무지 외반증의 가장 큰 원인이라 할 수 있습니다.
그 외에도 편평족, 전신 인대 이완증, 신경근육성 질환, 아킬레스 건 구축, 체중 증가, 제 1중족 설상 관절의 과운동성, 류마티스 관절염 등 다양한 질병이 이 변형의 원인이 될 수 있습니다.

발목관절 염좌

증상

무지 외반증은 엄지 발가락 주의의 인대와 힘줄 사이의 불균형이 초래되어 진행하게 됩니다. 엄지 발가락이 둘째 발가락 쪽으로 심하게 휘어지며 내측으로 회전하여, 제1중족 족지 관절이 안쪽으로 돌출된 것을 건막류라고 하는데 장시간 서 있거나 걸어 다닐 때는 신발과 마찰을 일으켜 통증이나 염증을 일으킵니다. 이 변형이 생기면 건막류의 통증과 신발 착용의 곤란을 가져오는 것이 주된 증상이지만, 발의 내측면의 안정성 및 보행시 지면을 박차고 나가는데 중요한 역할을 하는 엄지 발가락의 기능이 무지 외반증에 의해 감소됩니다. 또한 엄지발가락의 체중 부하 능력이 떨어지게 되면서, 두 번째 또는 세 번째 발가락의 중족골 머리 부분에 해당하는 발바닥에 굳은 살이 생겨 통증을 일으키는 원인이 되기도 합니다. 변형이 심해지면 엄지 발가락이 두 번째 발가락과 겹치거나 관절이 탈구되어 전반적으로 디디기 어려운 발이 되기도 합니다.

무지 외반증

치료

비수술적요법

무지 외반증이 있다고 반드시 수술을 해야 하는 것은 아닙니다. 일단 변형을 악화시키는 굽이 높고 아이 뾰족한 신발을 피하고 발의 돌출 부위를 자극하지 않는 편한 신발을 신는 것이 중요합니다. 증상이 있는 경증의 무지 외반증인 경우 부드럽고 볼이 넓은 편한 신발을 착용하여 동통을 완화시킬 수 있으며, 신발 안에 교정 도구 혹은 중족골 패드를 착용하여 증상을 완화시키거나 엄지발가락과 두 번째 발가락 사이를 벌려주는 보조기 등을 시도해서 변형의 진행을 늦추는 효과를 기대해 볼 수도 있습니다.

수술적요법

동통이나 변형이 심한 중등도 이상의 변형의 경우, 또는 보존적 치료에도 신발을 신기 어려울 정도의 일상생활에 지장이 있는 경우라면 수술적 치료의 대상이 됩니다. 수술을 통해서 훨씬 보기 좋고 안 아픈 발로 만들 수 있고 수술의 후유증이나 재발은 매우 적기 때문에 많이 사용되고 있습니다.
경증의 무지 외반증의 경우에는 중족골의 원위부에서 절골하는 원위부 갈매기 절골술을 단독으로 시행하거나 근위 지골 절골술을 병행하여 시행할 수 있습니다. 경증이거나 중등도의 무지 외반증의 경우 원위, 중위, 근위중족골 절골술중 하나와 원위부에서 연부 조직의 재정렬을 위한 수술을 같이 시행할 수 있고, 중증의 무지 외반증의 경우는 원위 연부 조직 수술과 더불어 중위나 근위에서 중족골의 절골술을 시행합니다.

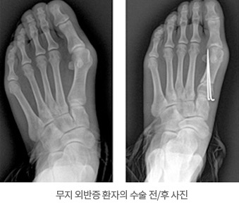
무지 외반증 환자의 수술 전/후 사진

경과 및 합병증

일반적으로 수술 후 3일정도 지나면 특수 신발을 이용하여 목발 없이 보행이 가능하며 수술 후 2주째 실밥을 제거하며 퇴원 전 교육을 통하여 적절한 방법으로 테이핑을 지속합니다. 직업의 종류와 수술 방법, 술전 변형의 정도 등에 따라 다르나 약 4~6주에 보행이 가능하며 직장으로의 복귀도 경우에 따라 가능하며 약 2~3개월이 지나면 평소에 신고 다녔던 신발을 신을 수 있으나 하이힐이나 폭이 좁은 신발은 신을 수 있더라도 피하는 것이 좋습니다.

call center 041-425-0099 진료시간 안내 야간진료 안내 입·퇴원 안내 오시는길 안내 증명서 발급 안내 치료센터 바로가기 어깨치료척추치료 무릎치료수부치료 족부치료고관절치료 카카오채널

천안센텀정형외과신경외과병원 개인정보처리방침 비급여비용

충청남도 아산시 배방읍 고속철대로147 우성메디피아
상호명 : 천안센텀정형외과신경외과병원
사업자등록번호 : 312-92-37157
대표자명 : 김우석

COPYRIGHT(C) CENTUM HOSPITAL. ALL RIGHTS RESERVED.

센텀 고객센터

TEL. 041-425-0099

FAX. 041-425-0098

센텀 진료시간 안내

  • 월 ~ 금
    토요일
    공휴일
    점심시간
    일요일
  • 09:00 ~ 20:00
    09:00 ~ 15:00
    09:00 ~ 13:00
    13:00 ~ 14:00
    휴진
야간진료안내
카카오채널